省医帮扶丨佛冈首例3D腹腔镜下保留脾脏胰体尾切除术成功开展
近日,我院在省人民医院(下称“省人医”)帮扶下,成功实施佛冈首例3D腹腔镜下保留脾脏胰体尾切除术,这一胰腺微创手术的成功,开启了我院胰腺手术的微创诊疗时代,标志着医院微创手术水平再上一个新台阶。
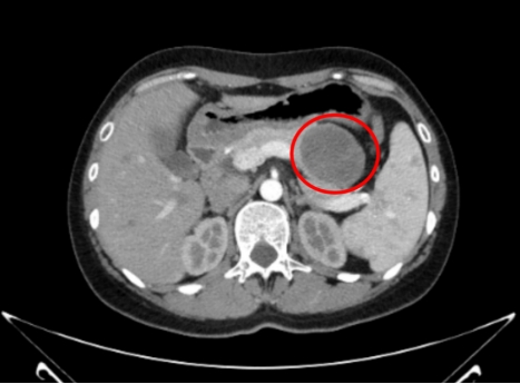
谭女士因上腹部轻度不适,到我院就诊,经检查发现胰腺体尾部有一囊性肿瘤,直径4.5厘米,需要进一步手术治疗,经我院普外二区副主任、副主任医师巢江玲详细解释病情,随即将谭女士收治入院。


陈汝福
主任医师,教授,广东省医学科学院副院长
大外科主任,胰腺中心主任
香港医学科学院院士,中国胰腺外科百强名医,岭南名医。
从事外科工作30余年,擅长胰腺恶性肿瘤根治性手术与微创治疗,在胰腺癌的早期诊断、分型、综合治疗有深入的研究,对不同分期胰腺癌建立了规范化、个体化、综合化的诊治流程。
主要研究胰腺癌的早期诊断,胰腺癌神经浸润、侵袭转移的分子机制,以胰腺癌独特的能量代谢模式、肿瘤免疫逃逸及肿瘤微环境为模型,非编码RNA精准调控为切入点,探讨胰腺癌的独特分子机制。近年来获省部级科技成果奖3项,以第一作者或通讯作者发表论著150余篇,其中SCI论著50余篇,影响因子大于10分的原创性论著8篇。获国家自然科学基金面上项目3项,省部级课题11项等。担任《中华肝脏外科手术学电子杂志》、《中华外科杂志》、《中华胰腺病杂志》等12种学术期刊的编委和常务编委。
主要社会兼职
广东省医学领军人才,中国名医百强榜胰腺外科Top 10,岭南名医;
中国抗癌协会胰腺癌微创与综合治疗分会主委;
中国抗癌协会胰腺癌专委会副主委;
中国医师协会胰腺病学专委会副主委;
中国医促会胰腺疾病分会副主委、胰腺疾病微创治疗学组副组长;
中国医药教育学会腹部肿瘤专委会副主委;
广东省医师协会胰腺病专业医师分会主委;
广东省基层医药学会会长;
广东省基层医药学会肝胆胰微创分会主委;
广东省抗癌协会胰腺癌专委会主委;
广东省医学会外科学分会副主委;
广东省医疗行业肝胆胰外科管理分会副主任委员;
广东省中西医结合学会普通外科专业委员会副主任委员等。
科室介绍
佛冈县人民医院普外科为医院临床重点专科。现有主任医师1名,副主任医师3名,主治医师3名,门诊位于住院部3楼,周一至周五全天由普外科主治医师职称以上医师出诊。科室医疗设备先进,拥有国内先进的腹腔镜、胆道镜、麦默通乳腺旋切系统、超声刀、外科能量平台设备。在胃肠道肿瘤手术、复杂的肝脏、胆道手术、腹腔镜手术、急腹症的诊治方面积累了丰富的经验。特别是在微创手术方面取得了长足进展,常规开展了腹腔镜下胆囊切除术、阑尾切除术、胃癌根治术、结直肠癌根治术、消化道穿孔修补术、腹腔探查术、脾脏切除术、肝肿瘤切除术、肝破裂修补术、胆总管切开取石一期缝合术、经腹膜前腹股沟疝修补术、腔镜下甲状腺次全切除术等微创手术,手术具有创伤小、恢复快等优势。
科研:
主动腹膜内外气压平衡在腹腔镜下腹膜外腹股沟疝补片植入修补术中的研究
科室荣誉:
郑小平主任医师被评为佛冈县拔尖人才、佛冈县名医工作室
设备技术:
颈部疾病:甲状腺瘤,结节性甲状 肿、甲亢、甲减、甲状腺癌;乳腺疾病:乳腺增生、急性乳腺炎、乳腺纤维瘤、乳腺导管疾病、乳腺癌;腹部疾病:肝囊肿、肝血管瘤、肝癌、肝硬化、肝内胆管结石、门静脉高压症、急性胆系感染、胆囊结石、胆囊炎、胆囊癌、脾脏疾病、胰腺疾病、胃、十二指肠溃疡溃疡、胃肠良性恶性肿瘤(胃、结肠、直肠癌)、急慢性阑尾炎、肠梗阻、腹股沟疝、切口疝、脐疝;肛肠疾病:肛裂、肛瘘、内痔、外痔、混合痔、肛周感染;周围血管疾病:大隐静脉曲张、血管炎;体表肿瘤:脂肪瘤、皮肤赘生物,皮脂腺囊肿。
地址:佛冈县人民医院外科楼五楼
咨询电话:0763-4273443
——————————
撰稿:巢江玲
编辑:黄芷茵
校对:周耿旭
编审:张勇华


用户登录