省医帮扶丨化学性胸膜固定术 难治性气胸的新选择!
患者黄伯是我院呼吸内科的“常客”,他患有双肺肺气肿、肺大泡,反复发作自发性气胸,稍不留意一用力大便或搬动重物就突发气促加重!“肺又爆了,又要去人医5楼住院放管排气了......”,黄伯伯这次端了盆水后又再发气促,于2021年12月6日门诊就诊查胸部CT提示:左侧气胸压缩70%,当天晚上入住呼吸内科后当班医生给予实施“左侧胸腔闭式引流术”,术后黄伯气促很快缓解了。但这次停留胸腔闭式引流管的时间有点长,已经超过大半个月了,水封瓶内还有气泡溢出提示气胸一直没有愈合不能拔管,黄伯心情不免有点焦灼。

省人医帮扶专家、县人医呼吸内科主任张石安在日常查房中了解到黄伯的情况,考虑黄伯年纪大,肺功能较差已没有外科手术治疗机会,遂向患者提出进行胸腔内注射硬化剂行化学性胸膜固定术治疗。2021年12月30日,张主任为黄伯经胸腔闭式引流管注入了硬化剂,当晚黄伯出现了一过性的胸痛及发热,这是化学性胸膜固定术的常见反应,术前也向患者进行了解释说明,给予对症处理后即可缓解。

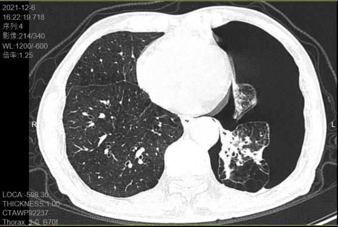
治疗前患者左侧气胸

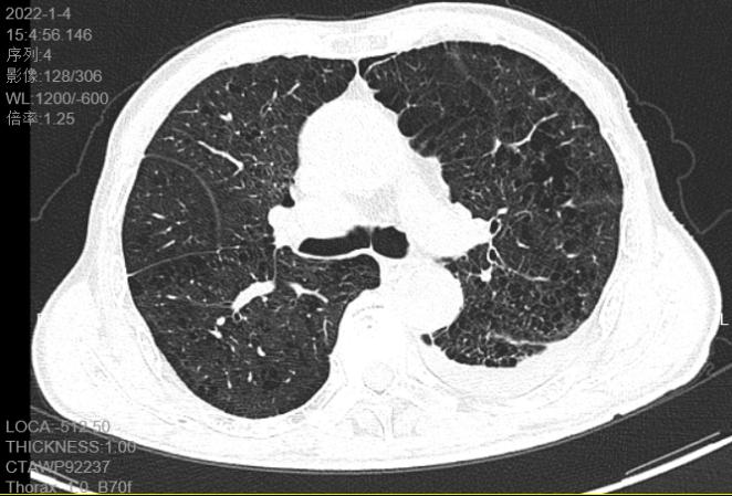
治疗后患者左肺已复张
后面几天,黄伯胸管连接水封瓶内的气泡逐渐减少,复查胸部CT左肺已经复张,2022年1月5日顺利拔出引流管,观察两天无不适后顺利出院。出院时黄伯对呼吸内科的医护竖起了大拇指!

张石安主任表示,自发性气胸是多见于有基础肺部病变者,由于病变引起细支气管不完全阻塞,形成肺大疱破裂。如肺结核、慢阻肺、 肺癌、肺脓肿、肺尘埃沉着症及淋巴管平滑肌瘤病等。
治疗方法包括:
(一)保守治疗:适用于稳定型小量气胸,首次发生的症状较轻的闭合性气胸。高浓度吸氧可加快胸腔内气体的吸收。如患者年龄偏大,并有肺基础疾病如慢阻肺,其胸膜破裂口愈合慢,呼吸困难等症状严重,即使气胸量较小,原则上亦不主张保守治疗。
(二)排气疗法:胸腔穿刺抽气适用于小量气胸(20%以下),呼吸困难较轻,心肺功能尚好的闭合性气胸患者。胸腔闭式引流 适用于不稳定型气胸,呼吸困难明显、肺压缩程度较重,交通性或张力性气胸,反复发生气胸的患者。
(三)化学性胸膜固定术:由于气胸复发率高,为了预防复发,可胸腔内注入硬化剂,产生无菌性胸膜炎症,使脏层和壁层胸膜粘连从而消灭胸膜腔间隙。适应于不宜手术或拒绝手术的下列患者:①持续性或复发性气胸;②双侧气胸;③合并肺大疱;④肺功能不全,不能耐受手术者。
——————————
撰稿:李静芬、张石安
编辑:黄芷茵
编审:李智锋


用户登录