不断提升 县人医骨折微创手术治疗有创新
近年来,我院骨科对外伤患者骨折的治疗不断改进技术,遵循“能闭合不开放,能微创不传统”的治疗原则,对关节内骨折采用关节镜下复位固定术,不但骨折复位更精准,而且手术更微创,患者康复更快,得到了病人广泛赞誉。
近日,何女士在家打扫卫生时不慎从高处摔下,自觉左膝部疼痛,不能站立行走,一开始她并未在意,认为休息几天慢慢会好,后来何女士见膝关节越来越肿胀并疼痛难以忍耐,在家人陪同下到我院拍片后示“左胫骨平台骨折”收入骨科一区治疗。
张勇华 县人医骨科一区主任、副主任医师
“胫骨平台骨折”为胫骨上段骨折,属于关节内骨折,对无移位骨折或不完全骨折或仅轻度移位的外侧平台骨折者可采用石膏外固定非手术治疗,但对以下几种骨折需手术治疗:①胫骨外侧平台向外倾斜>5°,或关节面塌陷>3mm, 或平台增宽>5mm; ②除裂纹骨折外的所有内侧平台骨折;③外侧平台倾斜的双髁骨折; ④内侧倾斜的双髁骨折; ⑤除裂纹骨折外的所有纵向压缩性骨折。
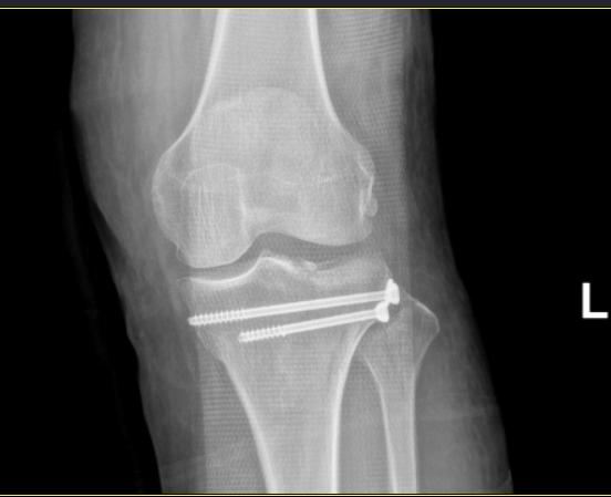
何女士的骨折情况属于上述第①条,经充分的术前准备后,张勇华主任为何女士行“关节镜下胫骨平台骨折复位内固定术”,手术仅切了3个小口,手术顺利,患者恢复非常好,术后3天就出院了。

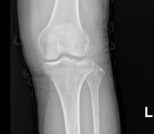
术前关节面分离塌陷

术后复位
张勇华主任表示,关节镜下骨折复位内固定术有以下明显优点:(1)手术创伤小,能直接观察到关节内结构的损伤;(2)监视关节软骨与骨的复位,提高复位的准确性,避免或减轻创伤性关节炎的发生;(3)确保内固定可靠合理,允许早期不负重的功能训练,防止关节僵直,有助于关节功能的恢复。

科室简介
佛冈县人民医院骨一科为清远市重点专科,多名医务人员分别在中山大学附属医院、南方医科大学附属医院、广东省人民医院、广州军区广州总医院等进修深造。目前科室在广东省人民医院骨科重点帮扶下积极开展各项新技术项目,科室分有脊柱、关节、创伤、中医康复四大组,其中创伤组能规范完成骨盆、四肢骨折的各种方式的内固定手术;应用微创理念,开展老年髋部骨折,应用mipo技术进行四肢长干骨骨折有限切开复位内固定术;应用关节镜技术开展关节内骨折复位内固定手术,减少手术创伤同时实现骨折及关节复位的精准修复。有多项技术获得市内领先水平。
骨一科全年每天(周一至周日)均有主治以上医师在103诊室出诊,咨询电话:0763-4283252 。
——————————
撰稿:黄芷茵
编辑:黄芷茵
编审:李智锋


用户登录