您的位置: 首页 >医院动态>医院新闻>详细内容

三维定向微创置管 让脑出血的治疗不再“脑洞大开”

发布时间:2022/04/06 点击数: 【字体:



随着时代的发展,人们的生活节奏不断加快,工作压力、作息饮食不规律等问题也随之增加,40岁左右高血压患病率逐年增高。近日,我院神经外科利用三维定向微创置管技术,成功救治一例年轻高血压脑出血患者。






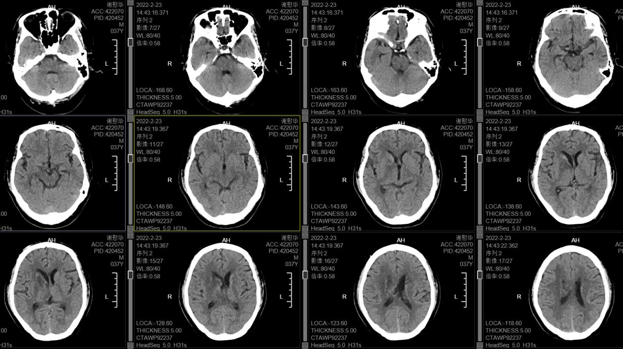
39岁的阿志(化名)体型较胖,2年多前发现有血压升高,平时偶然有头晕,但并没十分在意,未到正规医院进一步进行诊治,前段时间,阿志打牌时突感头晕、左侧手脚乏力,继而意识不清并瘫倒在地上,家属发现后立即将阿志送至我院急诊科,查头颅CT提示右侧基底节及脑室出血,量达26毫升,颅内出血量中等量多,但阿志此时血压明显增高,已意识不清,无法言语,病情危重,急诊医师立刻开通绿色通道收入神经外科。


术前头颅CT(红箭头所指为脑出血位置)


神经外科主任、主任医师王智勇查看患者病情后表示,此次脑内出血部位为高血压病常见的脑出血部位,与平时血压控制不好有非常大关系,患者可能在打牌期间出现激烈的情绪波动,导致血压波动大,从而引致血管破裂出血,目前患者已经意识不清,有手术指征,需急诊手术治疗。经过与家属的耐心沟通,同意采用三维定向置管的微创手术方案。


王智勇 县人医神经外科主任、主任医师


三维定向置管微创手术相较传统开颅手术创口小、恢复快,通俗来说,即只需在头部“钻”两个小洞,将淤血引流出来,避免了开颅所带来的大创伤,再结合后续用药,将淤血块溶解,患者就有可能恢复。阿志的出血量中等量多,血块相对稳定,可以通过三维定向置管的微创手术方法解决目前的危急状况。


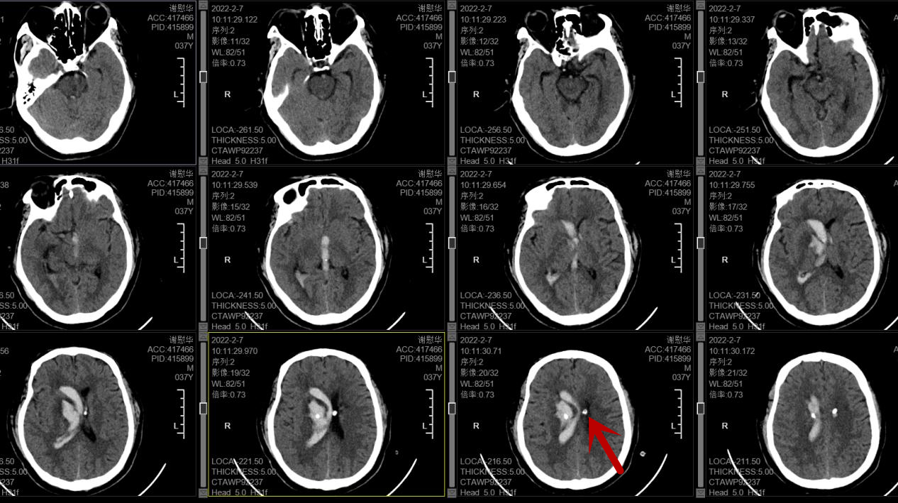
术后头颅CT(微创精准置管--箭头所指的两个小白点)


在王智勇主任及神经外科团队的相互配合下,成功为阿志施行三维定向置管微创手术,术后第二天,阿志逐渐恢复神志,经过持续引流和注射药物溶解淤血块等综合治疗,他的病情也逐步稳定好转,颅内出血基本吸收,可自行站立,左侧肢体力量也逐渐恢复到发病前状态并顺利出院。近日复诊时,阿志病情基本康复,未遗留明显的后遗症。


经治疗后的头颅CT片(白色的血肿已清除)


王智勇主任介绍,高血压性脑出血是高血压病最严重的并发症之一,常发生于50-70岁,常见于活动时、激动时、用力排便等时刻发病,起病急骤,往往在数分钟或数小时内病情发展到高峰,表现为突然出现剧烈头痛、恶心、呕吐、同侧肢体乏力,甚至意识丧失、抽搐、大小便失禁等。而我国高血压有着患病率、致残率、致死率“三高”和知晓率、治疗率和控制率“三低”特点,高血压及其并发症防治任务艰巨。



王智勇 县人医神经外科主任、主任医师


近年来高血压发病年轻化趋势明显,30-40岁人群应尽早规律检测血压,一旦发现血压增高,尽早到正规医院就诊,排除是否有高血压病,一量确诊高血压病,须系统性综合治疗,规律坚持服药,规律监测血压,去除高血压病的危险因素,避免并发高血压性脑出血,若一旦突发头晕头痛、恶心呕吐、肢体乏力甚至昏迷不醒等症状,应立即尽早送医进一步诊治。


科 室 简 介

佛冈县人民医院神经外科


佛冈县人民医院神经外科佛冈县唯一的神经外科专科科室,目前医师5名,其中主任医师1名,副主任医师1名,主治医师3名,护士10名,床位35张;负责出血性脑卒中(中风)的诊治、颅脑创伤救治中心的建设。



诊治范围:各种颅脑创伤,高血压脑出血、自发性蛛网膜下腔出血、颅内动脉瘤、脑积水、脑肿瘤及癫痫等病种,能开展各种颅脑创伤开颅手术,DSA全脑血管造影术,颅内动脉瘤介入栓塞术,脑积水脑室腹腔分流术,高血压脑出血三维颅脑定向置管清除引流术、小骨窗开颅血肿清除术及去大骨瓣减压血肿清除术,脑浅表肿瘤切除术,颅骨缺损电脑塑形修补术;能对相应专科疾病进行现代专科治疗,降低了神经重症患者的死亡率,提高预后生存质量,减轻患者经济负担取得良好的社会效益,经过长期的不断开拓进取,如今已发展成为我县“颅脑创伤、高血压脑出血、颅内动脉瘤”等颅脑疾病的救治中心。


门诊时间:每周二全天、每周三上午(节假日特殊情况除外)

门诊地点:门诊三楼316室

咨询电话:0763-4283778。


图片

—————————— 

撰稿:徐毅铭

编辑:黄芷茵

编审:李智锋


分享到:
打印正文
×

用户登录