您的位置: 首页 >医院动态>医院新闻>详细内容

高龄肾透析患者摔倒致髋部粉碎性骨折 县人医多学科联合成功微创救治

发布时间:2022/05/23 点击数: 【字体:

近日多学科专家联合为一名高龄股骨粗隆间粉碎性骨折并肾功能衰竭长期透析患者微创闭合复位髓内钉固定术。手术非常成功,患者顺利康复出院并送来锦旗表示感谢!





77岁的罗婆婆3年前开始出现肾功能衰竭,一直透析治疗(透析治疗3次/周)。最近,因其行走时不慎摔倒致右股骨粗隆间粉碎性骨折收入我院骨科一区住院治疗。罗婆婆既往还有高血压、糖尿病多年。


林勇 县人医骨科一区主治医师


“股骨粗隆间粉碎性骨折”为髋部骨折,是老年人常见的骨折疾病,该部位骨折对老年人的影响巨大,一年内的死亡率高达50%,被称为“人生最后一次骨折”,已成为继心脑血管疾病和肿瘤后的第三位老年人杀手

婆婆高龄、肾功能衰竭、基础疾病较多,手术风险极大,骨科一区专家团队不但要考虑手术方式、难度、风险,还要考虑老人肾功能不全等合并症。骨科一区团队积极协调肾内科、麻醉科专家会诊,制定了周密的手术方案和应急预案,与其家属沟通并取得同意后,决定尽快安排手术治疗。


在医护人员严密监护下,罗婆婆的血压及血糖得到控制后,安排在2次透析间隙进行手术,采用微创下股骨近段髓内钉固定,手术过程顺利。术后医护人员予以对症支持治疗,规律透析,指导罗婆婆进行功能锻炼,最终其顺利康复出院。


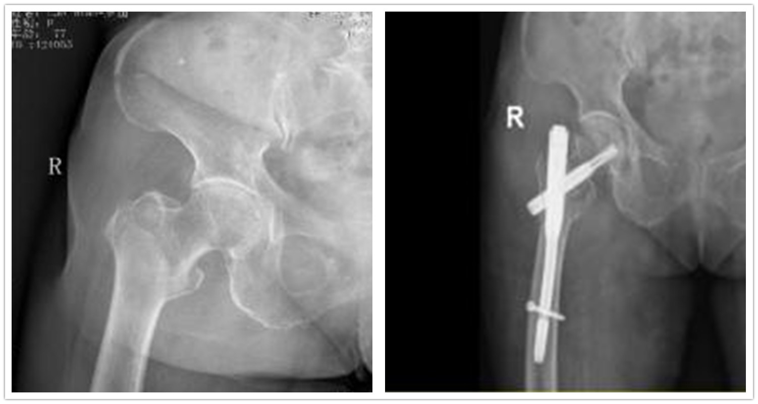
术前(左图)术后(右图)对比图


林勇医师表示,骨折本身并不可怕,可怕的是:骨折后因需要长期卧床,且患者因疼痛不敢活动、翻身,甚至不敢深呼吸;而且患者因惧怕排便、排尿引起的疼痛,有意无意地减少食物和水分的摄入,从而引起多种致命的并发症才是死亡的真正原因



如果患者长期卧床不活动会使得血流减慢,再加上饮水少血液粘稠,而且老年人常伴有高血压、高血脂、糖尿病等慢性基础病,血管条件不好,很容易发生下肢静脉血栓。血栓不仅造成下肢肿胀、疼痛,脱落后也可能会引起脑栓塞、肺栓塞等严重并发症,甚至死亡。


可见“髋部骨折”因保守治疗容易导致肺部感染、褥疮、血栓、泌尿系感染等可怕的并发症,严重威胁患者的生命健康,故目前主张尽可能手术治疗。


手术治疗的明显优点


1.骨折固定或关节置换之后,能有效消除疼痛;


2.术后即可坐起、翻身,有利于心肺等重要器官恢复,减少并发症;


3.有利于大小便和皮肤的护理;


4.如果体力允许,术后早期即可在保护下下床站立、练习行走;


5.大部分患者经功能锻炼,在2~3个月基本恢复到骨折前的活动状态。



科室简介


佛冈县人民医院骨科一区为清远市重点专科,多名医务人员分别在广东省人民医院、中山大学附属医院、南方医科大学附属医院、广州军区广州总医院等进修深造。目前科室在广东省人民医院骨科重点帮扶下积极开展各项新技术项目。


科室分有脊柱、关节、创伤、中医康复四大组,其中创伤组能规范完成骨盆、四肢骨折的各种方式的内固定手术;应用微创技术,开展老年髋部骨折、四肢长干骨骨折有限切开复位内固定术;应用关节镜技术开展关节内骨折复位内固定手术,减少手术创伤同时实现骨折及关节复位的精准修复。有多项技术获得市内领先水平。


骨科专科门诊:全年每天(周一至周日)均有主治以上医师出诊

咨询电话:0763-4283252


图片


—————————— 

撰稿:林勇

编辑:黄芷茵

校对:钟辛平

编审:李智锋


分享到:
打印正文
×

用户登录