您的位置: 首页 >医院动态>医院新闻>详细内容

“四肢瘫”患者颈脊髓损伤 省县骨科专家联合巧手助痊愈

发布时间:2023/06/29 点击数: 【字体:

近日,省人民医院帮扶专家和我院骨科团队为一位颈脊髓损伤、四肢不全瘫的患者进行手术治疗,术后患者四肢肌力恢复正常,家属连连感谢和赞叹。

57岁的李阿姨不慎从山上摔下致伤,当即出现了四肢感觉、运动障碍,被人救起后辗转送至我院急诊科。经过骨科一区医生仔细查体,发现患者是因脊髓损伤后出现的“四肢瘫”,是较为典型的“中央脊髓综合征”表现,若病情进一步进展可能面临四肢全瘫,甚至危及生命。

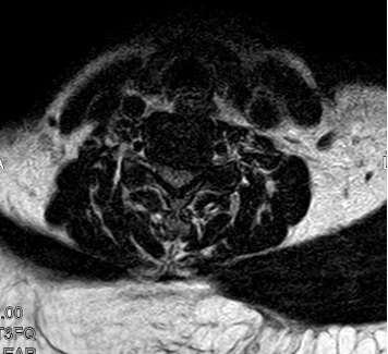
图片

术前

我院副院长、骨科主任张勇华与省人医脊柱外科帮扶专家陈崇博士研究讨论认为:患者有颈椎发育性椎管狭窄及颈椎间盘突出的基础病变,外伤后出现“挥鞭样损伤”,入院时表现为“四肢不全瘫”症状,从MR看其颈4-6节段脊髓变性。为了挽救脊髓功能,须尽快手术解除颈脊髓的压迫,以利于病情恢复。虽然因为转诊、路途等因素,救治时间已经过去近48小时,已不在脊髓救援的“黄金时间”,但患者及家属仍然坚信,佛冈县人民医院仍然是人民性命相托的人民医院,是疾病救援的“生命绳索”。

图片

术中

完善相关术前检查,积极术前准备后,陈崇博士和我院骨科团队对患者进行了颈椎后路单开门椎管扩大成形减压术(颈4、5、6),并对颈3和颈7椎板进行潜行减压。
术后次日患者四肢肌力逐渐恢复至4+级,目前患者除双下肢仍感觉有少许麻木感外,四肢肌力已恢复正常。出院时患者及家属对我院骨科团队及省人医帮扶专家表示充分的肯定和由衷的感谢。

图片

图片

术后
张勇华 县人医副院长、骨科主任、副主任医师


此病人为一例脊髓损伤中的“中央脊髓综合征”,表现为四肢不全瘫。脊髓损伤常发发生于工矿,交通事故等。伤情严重复杂,多发伤、复合伤较多,并发症多,合并脊髓伤时预后差,甚至造成终生残废或危及生命。脊髓损伤后的功能恢复主要取决于脊髓损伤程度,但及早解除对脊髓的压迫是保证脊髓功能恢复的首要问题

手术治疗是对脊髓损伤患者全面康复治疗的重要部分。手术目的是恢复脊柱正常轴线,恢复椎管内径,直接或间接地解除骨折块或脱位对脊髓神经根的压迫,稳定脊柱(通过内固定加植骨融合

图片

出现脊髓损伤的病人时,我们该如何处理呢?
立即拨打120急救电话不要随意搬动患者,如确需搬运病人时需注意正确体位,如下图所示:
图片
图片

专家简介

陈   崇

医学博士,广东省人民医院脊柱外科主治医师


专业特长:

1.全面掌握脊柱外科常见病与多发病的国际化诊疗规范;

2.颈椎退行性疾病:颈椎间盘突出、脊髓型颈椎病、神经根型颈椎病、颈椎后纵韧带骨化症的诊疗;

3.脊柱畸形:青少年特发性脊柱侧凸、成人退行性脊柱侧凸、先天性脊柱侧凸、颈椎畸形、综合征性脊柱畸形等;

4.腰椎退行性疾病:腰椎管狭窄症、腰椎间盘突出症、腰椎滑脱症的内镜辅助下微创手术;

5.脊柱骨折、骨质疏松性椎体压缩性骨折的微创手术治疗。


社会任职:

国际矫形外科学会(SICOT)中国部脊柱委员会委员

国际颈椎研究学会亚太分会(CSRS-AP)委员

国际颈椎研究学会亚太分会中国部(CSRS-AP Chinese Chapter)委员

广东省脊柱外科学会脊柱畸形学组委员兼秘书

国际脊柱内固定学会(AO Spine)会员

国际华人骨科研究学会会员


专家门诊时间:每周三下午、每周四上午

地点:佛冈县人民医院门诊三楼


图片

张勇华

佛冈县人民医院副院长、骨科主任、副主任医师



擅长诊治各种腰腿、颈肩痛及各种关节疾病。1999年毕业于华中科技大学同济医学院,医学学士,中国老年病学会委员,清远市医学会骨科分会常委。从事骨科专业疾病诊治工作20余年,熟悉各种腰腿、颈肩痛及各种关节疾病、复杂骨折等骨科疾病,擅长使用骨科微创技术手术。


专家门诊:每周一上午 

地点:佛冈县人民医院门诊三楼


图片

科室简介

佛冈县人民医院骨科为清远市重点专科。为佛冈创伤中心主导科室,分骨科一区和骨科二区。其中骨科一区以脊柱及下肢骨科为主,骨科二区以关节及上肢骨科、创面修复为主。


骨科一区主要治疗病种有:(1)颈肩腰腿痛(2)脊柱损伤(3)骨盆骨折(4)下肢疾病。能开展的手术有:颈/腰椎微创、开放手术,骨盆及下肢骨折内固定、肿瘤切除等手术。


骨科二区主要治疗病种有:(1)四肢关节疾病(2)上肢骨科、手部疾病(3)烧伤、糖尿病足、整形。能开展的手术有:髋/膝/肩关节置换及关节镜手术、上肢骨折内固定术、断指再植、烧伤及慢性创面修复术等。


拥有多功能A级病房30余间,床位100余张,配备了关节镜、椎间孔镜、显微镜、呼吸机、床边X光机、C臂机、心电监护仪、多功能微波治疗仪、骨伤治疗仪、CPM、臭氧治疗仪等先进设备,具备抢救大批量危重病人的能力。


骨科专科门诊设置在门诊三楼325诊室,设有颈肩腰腿痛、关节病特色门诊。每周一至日有主治以上医师坐诊。


联系方式:
骨科一区:0763-4283252
骨科二区:0763-4287060


图片

—————————— 

撰稿:邢现木、陈崇

编辑:黄芷茵

校对:周耿旭

编审:张勇华






分享到:
打印正文
×

用户登录