县人医成功救治90岁高龄心肌梗死患者
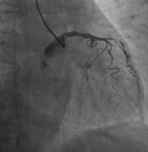
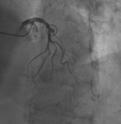
急性心肌梗死发病急、病情凶险、死亡率高,是导致中老年人猝死的主要原因之一,当高龄老人遭遇急性心梗时,凶险更是不言而喻。近日,我院心血管内科成功救治一名90岁高龄的心肌梗死患者,术后患者康复出院并送来锦旗。这是我院心肌梗死患者中年龄最大、成功完成急诊PCI手术的女性患者。



80岁以上的患者,因身体的各种功能明显衰退,行心脏支架植入术风险很大,几乎是手术的雷区。但如果不进行介入精准治疗,延误了最佳的治疗时机,心肌坏死情况可能会加重,随时有生命危险。心肌梗死猝死率较高,越早治疗,效果越好。



医学小贴士


科室简介
佛冈县人民医院心血管内科位于新内科住院大楼四楼,科室设置CCU病床12张,普通病床37张。收治冠心病、高血压、高血压性心脏病、风心病、心力衰竭、肺栓塞、心肌病、高脂血症、各种心律失常及周围血管病等。
心血管内科技术力量雄厚,现有广东省人民医院心内科驻点帮扶专家2名,本院医护人员21人,其中高级职称人员3人,中级职称人员4人,护师8名、护士7名。配备IABP(主动脉内球囊反搏)、PB840呼吸机、起搏除颤仪、视频喉镜、心电监护仪、动态血压仪、心电图机、DSA血管造影机等设备。该科室与广东省人民医院心内科深度合作,2018年开始胸痛中心创建工作,经过不懈努力和不断整改、提高,于2020年6月通过广东省胸痛中心认证,2021年5月通过国家标准版胸痛中心认证,预计今年年底县域内通过至少两家胸痛救治单元。
开展特色诊疗项目:冠心病介入诊疗:急性心肌梗死、复杂冠脉病变治疗(血管内血栓抽吸术、冠脉内斑块旋磨术及血管内超声检查术);心律失常的介入诊疗:射频消融手术、单腔、双腔起搏器植入术;先天性心脏病的介入诊疗:房缺经皮导管介入封堵术等。外周血管的治疗:腹主动脉瘤的介入治疗,下腔静脉滤器的置入和取出术等。
咨询电话:0763-4273400
——————————
撰稿:陈海峰
编辑:黄芷茵
校对:周耿旭
编审:张勇华


用户登录