县人医独立完成腹腔镜下肾上腺肿瘤切除术
近日,我院泌尿外科独立完成2例腹腔镜下肾上腺肿瘤切除术,在本地区属于新技术,新突破,填补了我县该领域空白,也标志着我院泌尿外科微创手术再上新台阶。
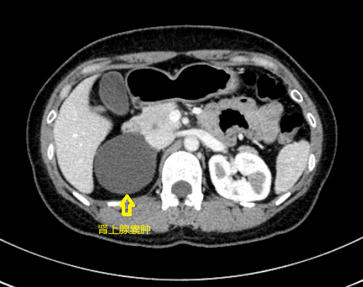
案例一

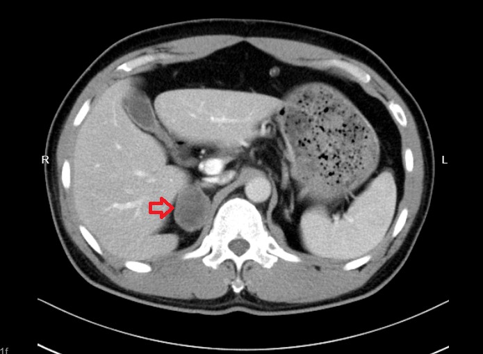
案例二




知识科普






肾上腺疾病如何预防?
科室简介
佛冈县人民医院泌尿外科创建于2009年,经过十多年的不断努力发展,本科室逐步形成以微创技术治疗泌尿系结石、前列腺疾病、泌尿系肿瘤、男性生殖系统疾病为主要特色的重点专科科室,科室集医疗、教学、科研于一体,拥有技术力量雄厚、经验丰富的副主任医师3名,主治医师3名,住院医师1名,碎石技师1名,和专业护理人员13名,是本地区治疗泌尿系统和男性生殖系统疾病的主力军。科室设有住院病区、专科门诊、体外震波碎石室,病区可用病床45张,年平均门诊8000人次,年完成手术1000余台,每年住院病人达1200人次以上。2021年开始广东省人民医院帮扶佛冈人民医院,本科室业务水平有了极大的发展,业务量不断攀升,成功医治了许多疑难危重病例。
本科室开展的技术项目包括:泌尿系结石微创取石,前列腺增生剜除术;腹腔镜辅助泌尿系肿瘤的根治术、肾、膀胱肿瘤的部分切除、输尿管畸形成形;男科显微镜精索静脉结扎术,吻合器包皮环切术。门诊体外冲击波碎石,尿动力学检查,尿结石成份分析等。
联系电话:
电话:0763-4283683
——————————
撰稿:刘伟光
编辑:黄芷茵
校对:周耿旭
编审:张勇华


用户登录