近日,一面“细问细诊不厌患 尽心尽责是良医”的锦旗送到了我院肾内科。

廖阿姨是一位佛冈本地的透析患者,2021年起在我院血液净化中心门诊常规血液透析,后来因需家人照顾,而儿女又在外地工作,廖阿姨不得不随着儿女转入省内其他医院透析。
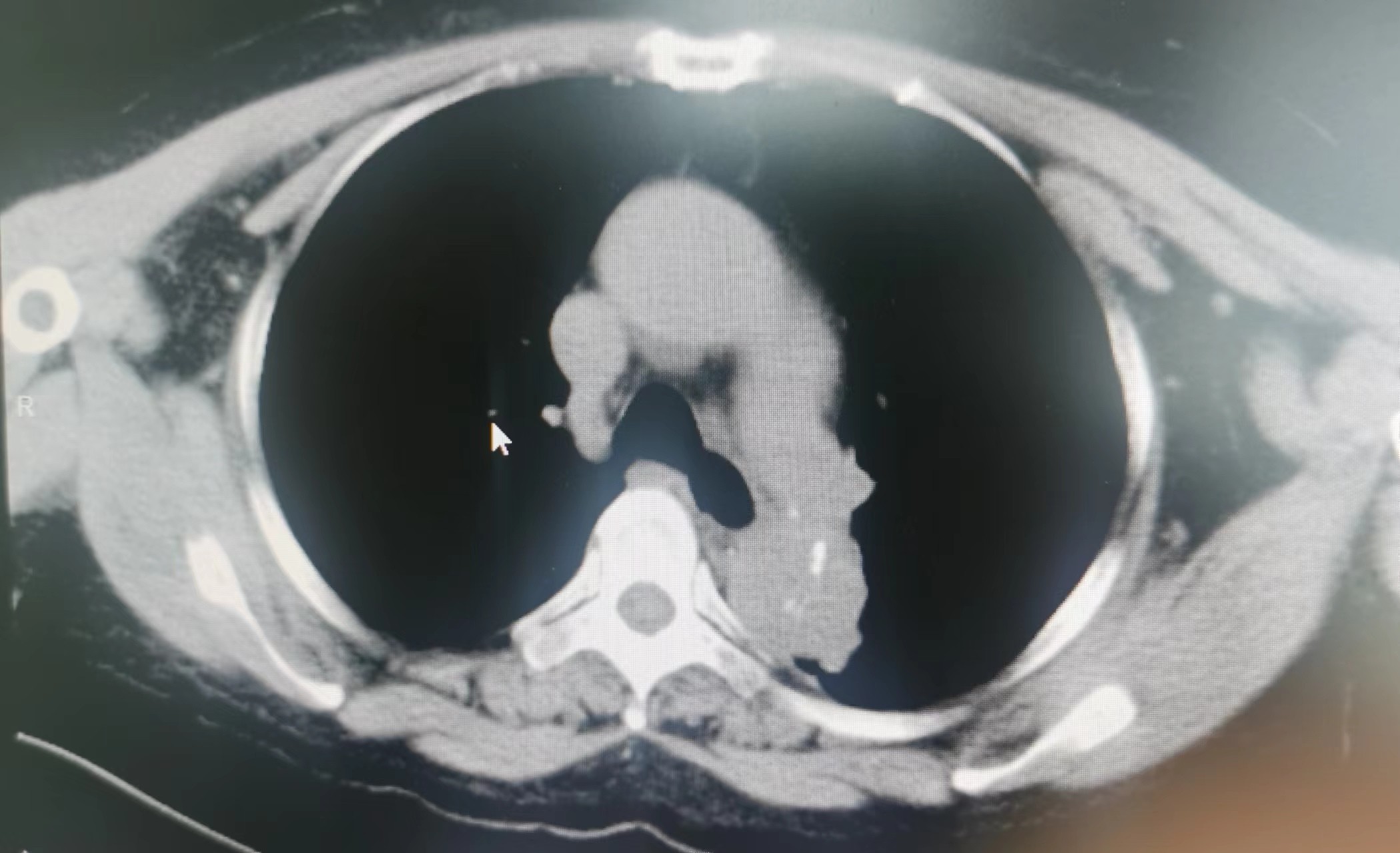
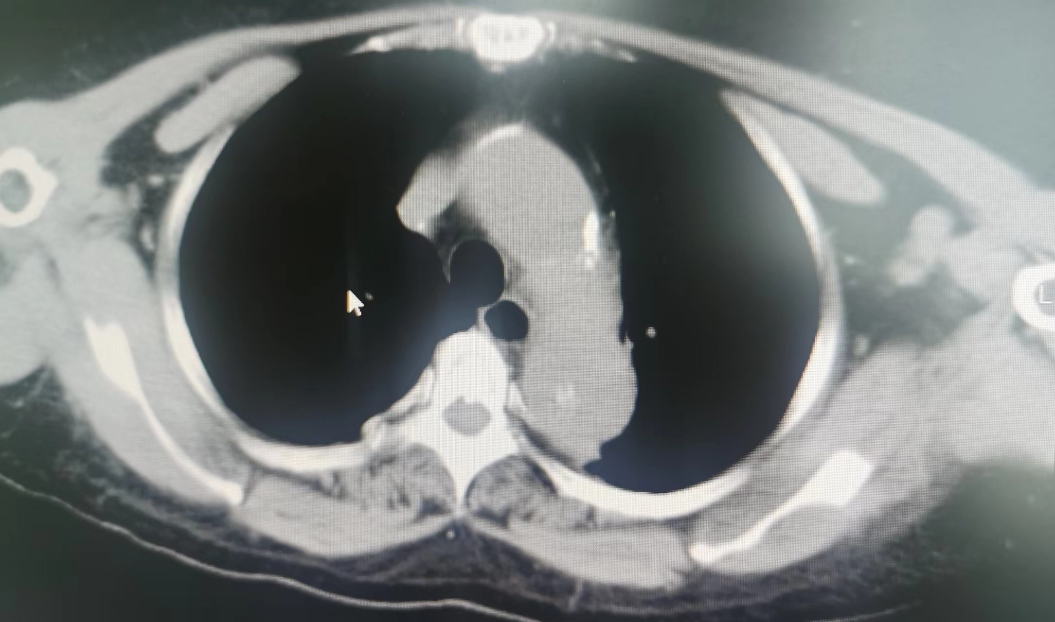
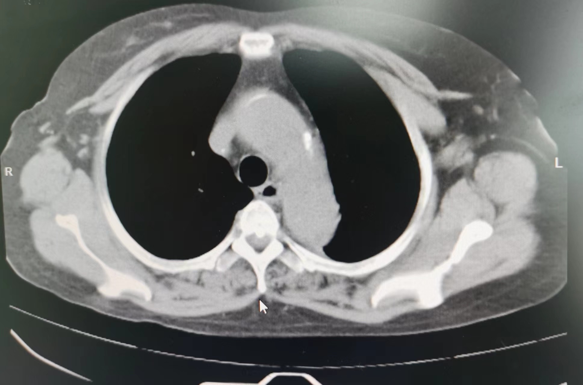
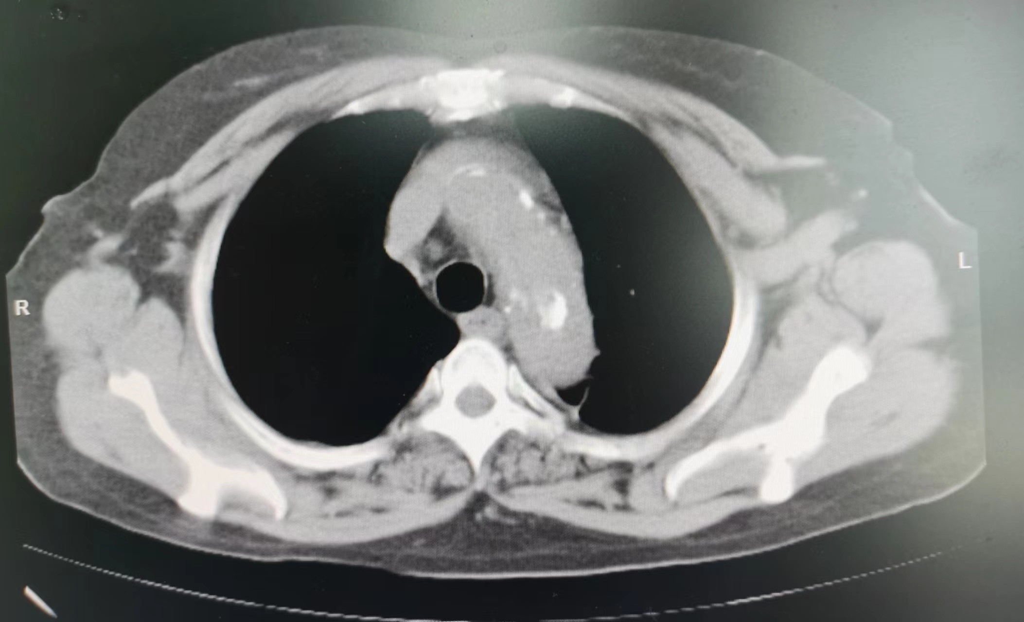
2023年11月,廖阿姨开始出现上腹部不适及胸痛,在外地医院住院治疗,当时查胸部CT考虑为:1.肺纤维化;2.双肺小结节;并经完善其他相关检查后考虑腹痛为:慢性胃炎(未行胃镜检查)。因临近过年,廖阿姨决定回本地过春节,在外地住院治疗10余日后和我院血液净化中心联系透析事宜。2023年12月,廖阿姨在我院透析时仍诉有上腹痛,值班医生经过仔细查体,感觉廖阿姨不像单纯慢性胃炎那么简单。首先,廖阿姨剑突下压痛不明显;其次,廖阿姨腹痛呈阵发性加重,加重时疼痛可累及左侧胸部,严重时胸部疼痛呈撕裂感,这些不像仅有慢性胃炎的症状。我院肾内科主任、主任医师李友河会诊后建议患者住院进一步检查,廖阿姨当日办理了住院。廖阿姨住院期间,肾内科予以相关治疗后其腹痛逐渐缓解,但未完全消失,经李友河主任、主管医生反复沟通和讲解病情后,廖阿姨及其家属终于认识到病情发展的严重性,从原本不愿检查的态度转变为同意完善胸部CT检查。经胸部CT平扫,结果为:1.主动脉夹层可能,建议进一步增强检查;2.右肺、左肺上叶少量慢性炎症;3.主动脉、冠状动脉硬化;4.心包少量积液,左侧胸腔少量积液。
当结果出来后,李友河主任第一时间查看了结果,并马上和患者家属沟通,建议廖阿姨马上行胸部CT增强扫描,同时,我院将立即开通绿色通道,转入我院深度帮扶医院——广东省人民医院进行救治。当晚,廖阿姨胸部CT增强结果提示为主动脉夹层,我院立即派出救护车和医护人员,全程护送廖阿姨至广东省人民医院进一步救治。廖阿姨先后在省人民医院心脏急危重症监护室、心内五科治疗,3日后,省人民医院专家为其行胸主动脉覆膜支架腔内隔绝术+暂时性经静脉起搏器系统的置入等治疗,2024年1月廖阿姨好转出院,并继续预约到本院透析。廖阿姨及家属在省人民医院出院后,十分感激我院及省人民医院的救命之恩,他们认为在省人民深度帮扶我院以来,佛冈县人民医院打出了“省医就在家门口的口号”,不管是佛冈县人民医院的医疗技术,还是医德医风均取得了很大的进步。随后,廖阿姨特地送来了锦旗,感谢全体肾内科医护人员的救命之恩。我院肾内科坚持“以患者为中心”的理念,进一步改善医疗服务,满足患者日常就医需求,为患者提供全周期的诊疗服务,在不断提高诊疗水平的同时,丰富服务内涵建设,改善患者就医体验,为广大群众生命健康保驾护航。科室简介
佛冈县人民医院于2010年成立血透室,2018年建立完善的肾内科体系,建科以来,在医院的正确领导下,现借广东省人民医院帮扶之春风,积极加强与广东省人民医院相关专科联系;全科医务人员团结合作,爱岗敬业,努力工作,经过10年多的建设,肾内科不断发展和壮大,是佛冈县技术水平较高的肾脏病专科。肾内科包括肾内科、内分泌、肿瘤、风湿免疫、血液病专业五个亚临床学科,现有医护人员共43人,其中主任医师1名,主治医师4人,住院医师3人,所有医生均具有本科学历;肾内科由3个部分组成,包括专科门诊、专科病房和血透室,病房开放床位56多张,年专家门诊量6600余人次,年收治患者1800余人次,有54张血透机位,平均每个月透析人数约250人,透析次接近2500人次,门诊管理腹膜透析病人约20人;肾内科医护人员技术精湛,经验丰富,本科所有医务人员均在省市级医院进行过规范的专业进修学习,并且所有的本科医务人员每年均多次参加全国、省市专业的业务培训;2016年及2019年本科分别申请通过清远市科技局专业课题一项。肾内科主要收治各种原发性和继发性肾脏疾病、各种原因所致急、慢性肾损伤;2021年佛冈县人民医院肾内科积极承接广东省人民医院肾内科、血管外科、内分泌科、风湿免疫科等专家的柔性技术帮扶,先后得到肾内科陶一鸣教授、血管外科匡斌教授现场多次手术指导,内分泌科杨华章教授、风湿免疫科张晓教授等来我科现场多次会诊及指导病人诊治;肾内科还被评为2021年度佛冈县人民医院“优秀运营科室”,进入2022年,佛冈县人民医院肾内科抓住在省人民医院继续深度帮扶指导下,积极和广东省人民医院肾内科对接,积极加入广东省人民医院肾内科主持的广东省诊疗一体化项目、广州市重点科技项目《中国肾脏病管理创新计划-慢性肾脏病真实世界注册登记研究》和《阿司匹林减少透析患者心血管事件的实用性、基于登记系统、随机、双盲临床试验》,并将作为分中心将来可以把分中心的数据上传至省人民医院肾脏病中心,让患者诊治标准和省人民医院肾脏病中心一致,并得到省人民医院相关肾脏病专家的指导。佛冈县人民医院肾内科也派出科室医生至省人民医院肾内科进修,目前佛冈县人民医院肾内科已开展常规的肾穿刺活检术3年,每年开展例数约20例,肾穿刺活检术全部开展成功,未发现明显并发症,穿刺时间每例约10-20分钟;开展各种难度自体内瘘形成术及半永久隧道透析导管植入术6年余,每年自体内瘘手术手术量约70例左右,透析用半永久隧道导管置入术每年约40例;开展B超或DSA引导下经皮血管腔内成形术(PTA)3年,每年手术量30例左右,今年截止10月我科在DSA和B超引导下成功独立完成人工血管血栓形成PTA+溶栓术、自体内瘘血栓或狭窄各种难度PTA手术40例;我科PTA选择穿刺路径也多样化,可以根据病情从远心端桡动脉、内瘘静脉、内瘘旁路静脉等入路,手术全部成功;肾内科血液透析中心经过全面搬迁及扩容,现有血液透析机54台,所有透析机均为国际一线品牌,如:费森尤斯透析机、金宝透析机、贝朗透析机、尼普诺透析机;透析中心水处理为国际一线品牌费森尤斯水处理系统;所有的透析设备大大保证透析过程的安全性。同时透析环境优良,新血透中心占地面积2000m²,透析环境的改善大大提高患者透析舒适性。内分泌专科为我科的优势学科,目前已开展甲状腺穿刺活检术、胰岛素泵治疗等技术;肿瘤科开展输液港置入术、PICC管置管术等化疗治疗血管通路手术。
专家门诊:周一、周三全天;普通门诊:周二、周四、周五
——————————
撰稿:李友河
编辑:黄芷茵
校对:周耿旭
编审:张勇华
用户登录