佛冈人医骨科:“小孔”治“大病”!腰椎间盘突出微创可治愈
近日,51岁的何女士经我院骨科椎间孔镜微创手术治疗,3天后便高兴地出院了,“小孔”微创手术解决了她近半年来腰椎间盘突出的病痛。






知识科普
张勇华 县人医副院长、主任医师
据统计,我国腰椎病患者已突破2亿人,腰椎间盘突出症患者目前已占全国总人数的15.2%,发病率仅次于感冒。一不留神,我们就可能被“腰椎间盘突出症病”盯上!
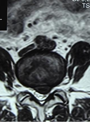
什么是腰椎间盘突出症?


腰椎间盘突出治疗
椎间孔镜手术是什么?

佛冈县人民医院骨科为清远市重点专科。为佛冈创伤中心主导科室,分骨科一区和骨科二区。其中骨科一区以脊柱及下肢骨科为主,骨科二区以关节及上肢骨科、创面修复为主。
骨科一区主要治疗病种有:(1)颈肩腰腿痛(2)脊柱损伤(3)骨盆骨折(4)下肢疾病。能开展的手术有:颈/腰椎微创、开放手术,骨盆及下肢骨折内固定、肿瘤切除等手术。
骨科二区主要治疗病种有:(1)四肢关节疾病(2)上肢骨科、手部疾病(3)烧伤、糖尿病足、整形。能开展的手术有:髋/膝/肩关节置换及关节镜手术、上肢骨折内固定术、断指再植、烧伤及慢性创面修复术等。
拥有多功能A级病房30余间,床位100余张,配备了关节镜、椎间孔镜、显微镜、呼吸机、床边X光机、C臂机、心电监护仪、多功能微波治疗仪、骨伤治疗仪、CPM、臭氧治疗仪等先进设备,具备抢救大批量危重病人的能力。
骨科专科门诊设置在门诊三楼325诊室,设有颈肩腰腿痛、关节病特色门诊。每周一至日有主治以上医师坐诊。
——————————
撰稿:王冬亮
编辑:黄芷茵
校对:周耿旭
编审:张勇华


用户登录