发热后高血压变正常?危险!佛冈人医成功救治高血压急性心肌梗塞患者

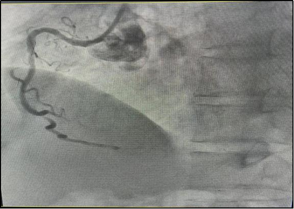
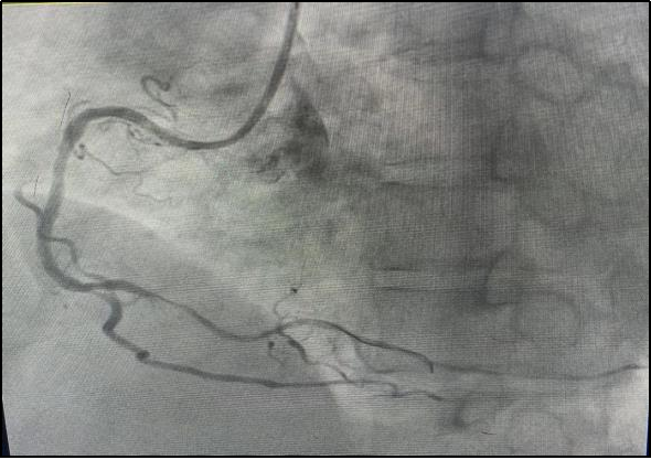
“发热”对于大家来说应该都不陌生吧?但是仅有发热症状的急性心肌梗塞大家听过吗?近日,我院急诊医生在接诊时细心观察,及时发现一名仅有发热症状的急性心肌梗塞患者,并通过介入手术成功挽救其生命。
黄叔基础血压较高,血压基本都在160/90mmHg以上,本次就诊时血压虽然看上去处于正常范围,但血压在短时间内下降超过30%,提示可能存在休克的状态。


健康科普
1
第一次报警
2
3

“发热”对于大家来说应该都不陌生吧?但是仅有发热症状的急性心肌梗塞大家听过吗?近日,我院急诊医生在接诊时细心观察,及时发现一名仅有发热症状的急性心肌梗塞患者,并通过介入手术成功挽救其生命。
黄叔基础血压较高,血压基本都在160/90mmHg以上,本次就诊时血压虽然看上去处于正常范围,但血压在短时间内下降超过30%,提示可能存在休克的状态。


健康科普
1
第一次报警
2
3
用户登录