膝关节严重损伤 佛冈人医骨科“一镜”微创修复获良效
近期,一场意外车祸,导致朱阿姨头部、手腕、右膝关节损伤,其中右侧膝关节损伤严重、变形、脱位。送入我院经治疗头部情况稳定后转骨科二区进一步治疗。
骨科二区医生体查发现朱阿姨膝关节稳定性差,关节脱位手法仍无法复位。完善相关检查显示:右膝关节脱位、膝关节前后交叉韧带断裂、内侧髌股韧带断裂、内侧副韧带断裂、外侧半月板损伤。考虑关节多发韧带损伤,经科室团队讨论,经和朱阿姨及家属沟通并取得同意后,行关节镜下修复治疗。


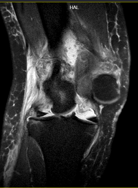
MR检查可见膝关节脱位、前后交叉韧带断裂、内侧副韧带断裂并卡关节内(导致关节无法复位)
进入手术室麻醉(无疼痛)下检查见膝关节前后、侧方稳定性均极差。关节镜下见交叉韧带、内侧副韧带、内侧髌骨韧带、股四头肌腱、外侧半月板损伤。

关节镜下多发韧带断裂仅剩残端
术中将关节侧副韧带、内侧髌股韧带从关节内推出后行膝关节复位并修复内侧副韧带、内侧髌股韧带。并重建前后交叉韧带。

重建后交叉韧带后重建前交叉韧带镜下过韧带
术后朱阿姨安返病房,经过手术修复,其膝关节恢复稳定性良好,关节复位并活动良好。
日常中常有市民膝关节扭伤或被暴力损伤,甚至部分出现深蹲或者爬山后疼痛一直无法缓解,轻微的损伤一般经过休息能自行缓解,但部分严重的损伤或部分早期轻微疼痛逐渐加重,且经过休息无法缓解的损伤就需要到医院进一步治疗。
骨科二区副主任易治国表示,部分损伤非手术治疗效果差,且可能会有大量后遗症。目前膝关节损伤大部分均可使用膝关节镜下微创修复,术后大部分可得到较满意的恢复结果。


用户登录