一文读懂放射检查:不神秘,很有用!
在医院看病的过程中,放射检查是一项非常常见的检查项目。从简单的拍X光片,到先进的CT、磁共振检查,这些放射检查手段在疾病诊断中发挥着至关重要的作用。今天,我院放射科就为大家揭开放射检查的神秘面纱。
放射检查是什么原理?
1. X线成像原理:X线是一种波长很短的电磁波,具有强大的穿透能力。当X线穿透人体时,由于人体不同组织和器官的密度、厚度存在差异,对X线的吸收程度也各不相同。比如骨骼,其主要成分是钙,密度高,吸收X线较多,在X线片上就呈现出白色;而脂肪、肌肉等组织密度较低,吸收X线较少,显示为灰色或黑色。就好像阳光透过不同厚度的云层,厚云层遮挡阳光多,看起来更暗,薄云层遮挡少,显得更亮。通过这种不同组织对X线吸收的差异,最终在探测器或胶片上形成黑白对比的影像,医生就能根据这些影像来判断身体是否存在异常。
2. CT成像原理:CT即电子计算机断层扫描,是在X线基础上发展起来的。它利用X线管环绕人体某一部位进行连续断面扫描,从多个角度获取人体内部的信息。每一次扫描都会得到一个人体横断面的图像,就像把面包切成一片片,然后通过计算机将这些断面图像进行重建整合,形成一个完整的三维立体图像。这种成像方式能够更清晰地显示人体内部的细微结构,比传统X线检查发现更多的病变细节。


64排128层螺旋CT和CT图像重建
3. MRI成像原理:MRI也就是磁共振成像,它与X线和CT有着本质的区别,不使用任何电离辐射。MRI利用的是人体中氢原子核在强大磁场内发生共振的特性。人体大部分组织都含有水分,水分子中的氢原子核就像一个个小磁针,在没有外界磁场时,它们的排列杂乱无章。当处于强大的外磁场中时,氢原子核会沿着磁场方向排列整齐。此时,再施加一个特定频率的射频脉冲,氢原子核就会吸收能量发生共振,当射频脉冲停止后,氢原子核又会把吸收的能量释放出来,这个过程中产生的信号被探测器接收,经过计算机处理后就形成了MRI图像。MRI对软组织的分辨能力极高,能够清晰地显示大脑、脊髓、肌肉、韧带等组织的情况。


飞利浦Achieva 1.5T磁共振和MRI成像原理中氢原子核在磁场中变化的示意图
常见放射检查有哪些?
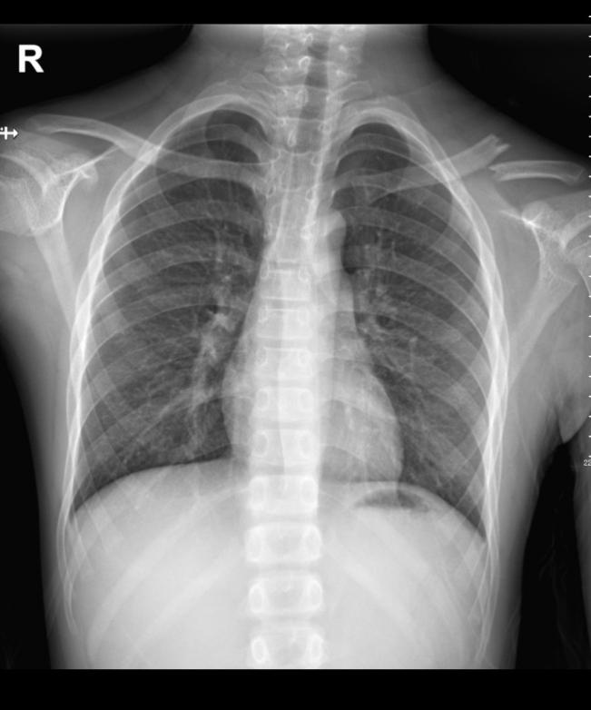
1. X线摄影:也就是我们日常所说的拍片,是最基础的放射检查方法。它操作简便、检查速度快、费用相对较低,常用于检查骨骼系统疾病,如骨折、骨肿瘤等。当我们不小心摔倒怀疑骨折时,拍一张X线片,就能清楚地看到骨头是否断裂以及断裂的位置和程度。在胸部检查方面,X线胸片可以帮助医生发现肺部的一些明显病变,如肺炎、肺结核、肺部肿瘤等,但对于一些早期或较小的病变,可能容易漏诊。


正常胸片和左锁骨骨折
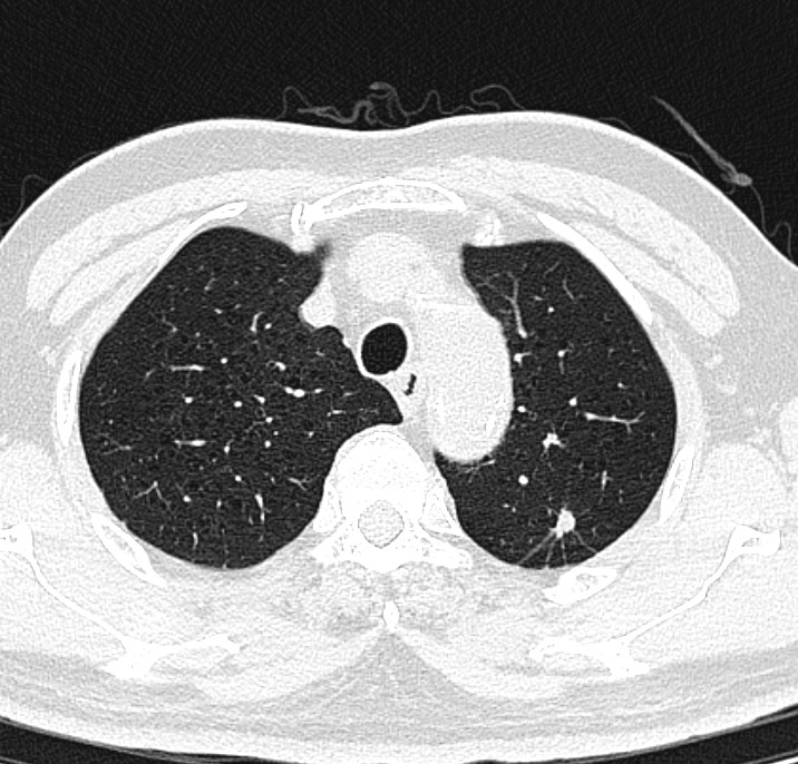
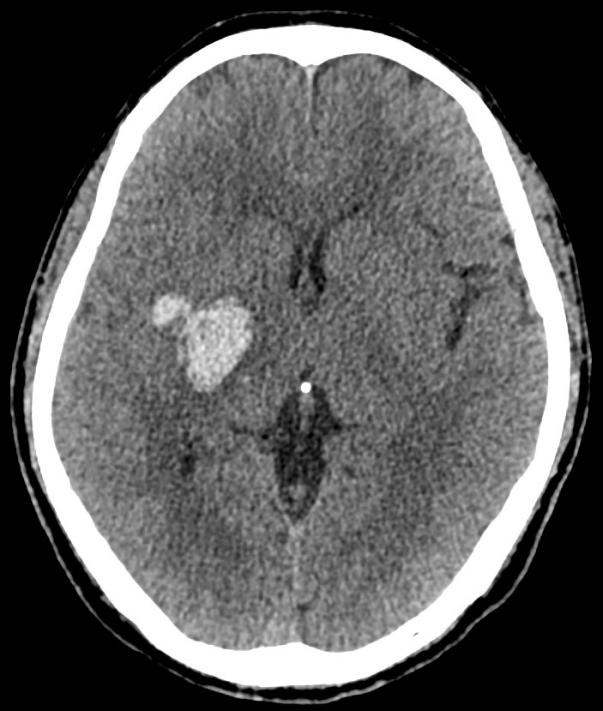
2. CT检查:CT检查具有更高的密度分辨率和空间分辨率,能够发现更细微的病变。在肺部疾病的诊断中,CT尤其是高分辨率CT(HRCT),可以清晰地显示肺部的微小病灶,对于早期肺癌的筛查具有重要意义。通过CT检查,医生能够观察到肺部小结节的大小、形态、边缘、内部结构等特征,从而判断其良恶性。在神经系统疾病方面,CT可用于检查脑出血、脑梗死、脑肿瘤等。在腹部疾病诊断中,CT对肝脏、胆囊、胰腺、脾脏等器官的病变也有很好的显示效果,如肝囊肿、肝癌、胆结石、胰腺炎等。


左肺上叶肺结节和右侧基底节脑出血
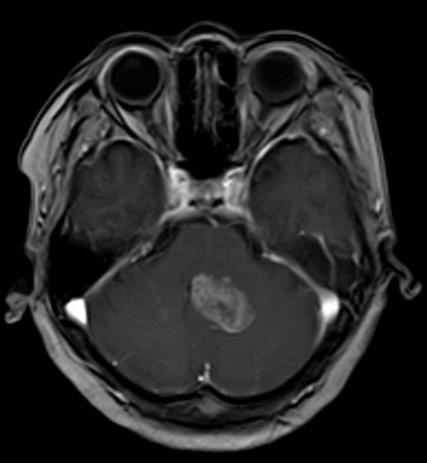
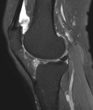
3. MRI检查:MRI在神经系统疾病的诊断中优势显著,对于脑肿瘤、脑梗死、脊髓病变等的诊断准确性较高。例如,对于一些早期的脑肿瘤,MRI能够更清晰地显示肿瘤的位置、大小、范围以及与周围组织的关系,有助于制定治疗方案。在关节疾病方面,MRI可以清晰地显示关节软骨、半月板、韧带等软组织的损伤情况,对于膝关节半月板损伤、交叉韧带断裂、肩关节肩袖损伤等疾病的诊断具有重要价值。此外,MRI在乳腺疾病、盆腔疾病等方面也有广泛的应用。




脑肿瘤T1WI+C、右膝外侧半月板撕裂、右侧膝前交叉韧带断裂、右侧肩袖损伤
放射检查安全吗?
很多人对放射检查存在担忧,主要是害怕辐射危害。的确,X线和CT检查会产生一定的电离辐射,但我们不必过度恐慌。
首先,医疗辐射剂量都是在安全可控范围内的,而且医生在开具检查时,会充分权衡检查的必要性和辐射风险,只有当检查带来的益处明显大于辐射危害时,才会建议患者进行检查。其次,医院会采取一系列严格的防护措施来减少辐射对患者和医护人员的影响。例如,为患者配备铅衣、铅围脖等防护用品,在检查过程中尽量缩小照射野,只对需要检查的部位进行照射。而MRI检查不涉及电离辐射,是一种相对安全的检查方法,适合对辐射敏感的人群,如孕妇(在特定孕期和适应症下)、儿童等,但体内有金属植入物的患者需要谨慎选择。


X光胸片摄片防护和MRI检查室内注意事项警示标识
检查前后注意事项
1. X线和CT检查前:患者需要去除身上所有的金属物品,包括项链、耳环、戒指、手表、钥匙、硬币、带金属纽扣或拉链的衣服等。因为金属物品会在X线或CT图像上产生伪影,干扰医生对图像的判读,就像在干净的窗户上贴上了贴纸,影响视线。如果是进行胸部检查,还需要注意在检查时保持呼吸平稳,听从技术员的指令进行吸气、呼气或屏气,以保证图像的清晰度。另外,孕妇除非是在危及生命且没有其他替代检查方法的情况下,一般应避免进行X线和CT检查,因为辐射可能会对胎儿造成潜在的危害。
2. MRI检查前:由于MRI设备存在强大的磁场,所以体内有金属植入物的患者一定要提前告知医生,这些金属植入物包括心脏起搏器、金属假牙、金属节育环、固定钢板、钢钉、人工关节等。金属在强磁场中可能会发生移位、发热,甚至影响设备正常运行,对患者造成严重伤害。同时,患者在检查前也要去除身上所有的金属物品,如手机、银行卡、磁卡、金属眼镜等,因为这些物品也可能会受到磁场影响而损坏。在检查过程中,患者需要保持安静,避免移动身体,因为轻微的移动都可能导致图像模糊,影响诊断结果。如果患者有幽闭恐惧症,应提前告知医生,医生会根据情况采取相应的措施,如使用镇静药物或选择开放型的MRI设备。
放射检查是现代医学中不可或缺的重要诊断工具,它就像医生的“火眼金睛”,帮助我们发现身体内部隐藏的疾病。希望通过这篇科普文章,大家能对放射检查有更全面、深入的了解,在面对放射检查时不再感到恐惧和迷茫,能够积极配合医生的检查,让放射科更好地为我们的健康保驾护航。如果你在检查过程中有任何疑问,随时都可以咨询我院放射科的医护人员,我院放射科将竭诚为你服务。


用户登录