1千公里求医 1公分切口解决 佛冈人医骨科微创手术解疾患
“早知道手术效果这么好,我早就做手术了!”
近期,家住河南省驻马店市的76岁轩阿姨千里迢迢来到佛冈县人民医院骨科求医,经手术治疗,恢复良好,给医院送来了锦旗!
轩阿姨于3年余前无诱因出现腰部疼痛,伴双下肢疼痛、麻木,以左侧肢体疼痛较为明显,并逐渐加重,目前行走约100米就要坐下休息10分钟。数年来,轩阿姨到处求医,但症状一直没有缓解,也有医生建议过她手术治疗,她不愿意手术,近来腰腿痛明显加重,明显影响她的生活。
通过网络查询,轩阿姨找到了广东省人民医院派驻佛冈县人民医院院长梁昌详教授求治,梁院长通过远程会诊后诊断“腰椎管狭窄症”,并建议轩阿姨手术治疗,开始轩阿姨对手术仍比较抗拒,通过梁院长的耐心讲解,告知可以通过两个直径0.8cm的手术切口完成微创手术治疗,轩阿姨终于打消疑虑,直接坐飞机来到佛冈县人民医院住院治疗。经过微创手术治疗,轩阿姨身体恢复良好,开开心心的出院回家!
我院骨科一区主治医师钟辉灵介绍,“腰椎管狭窄症”是一组慢性进行性脊髓、马尾及脊神经疾病,是由椎管发生的骨性和(或)纤维性狭窄引起的脊髓、马尾及脊神经根的压迫而出现相应的神经功能障碍。分原发性腰椎管狭窄(占3%)、继发性腰椎管狭窄(占97%)。原发性腰椎管狭窄是由于本身存在先天性畸形而引起的症状,继发性腰椎管狭窄是由于后天因素(退变、外伤、失稳、畸形、新生物,炎症等)造成腰椎管内径小于正常值,产生一系列症状与体征。其主要临床表现为“间歇性跛行”,表现为患者步行一定距离(数米-数百米)后,出现一侧和双侧腰酸、腿疼、下肢麻木、无力以致跛行,当蹲下或坐下休息数分钟后有可继续步行,但距离较正常人为短。因有间歇期,故名“间歇性跛行”。严重者不能下地行走。临床还可以出现以下腰部症状和下肢根性体征,下腰部症状表现为腰痛、无力、易疲劳,但屈颈试验阴性。下肢根性体征多为双侧性,可与腰椎间盘突出症相似,尤以步行时为甚,但休息后缓解或消失。
轩阿姨住院后进一步检查结果与临床表现完全符合“腰椎管狭窄症”的诊断,梁昌详院长亲自为轩阿姨进行了微创手术治疗,手术过程顺利,术后第2天轩阿姨就可以下床活动了,腰腿痛症状明显缓解。
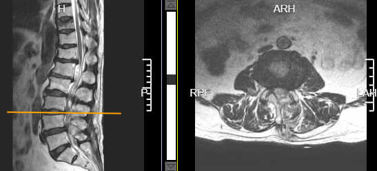
术前腰3/4椎间盘突出并椎管狭窄
术后腰3/4椎管减压后狭窄解除
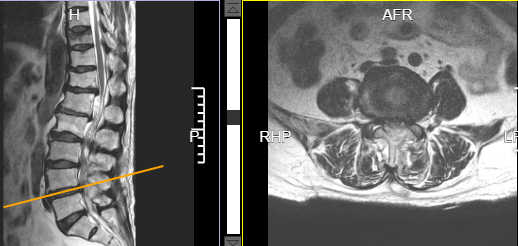
术前腰4/5椎间盘突出并椎管狭窄
术后腰4/5椎管减压后狭窄解除
梁昌详院长表示,“腰椎管狭窄症”在治疗上可以选择保守治疗和手术治疗,保守治疗仅适用于轻度腰椎管狭窄,症状较轻,并对生活、工作影响不严重者。普遍认为,腰椎管狭窄症总的自然发展趋向不良,应尽早手术。如有以下情况应尽快选择手术治疗:(1)症状、体征严重影响生活、工作,经系统保守治疗3个月以上明显无效者。(2)神经根和马尾神经广泛被压受损或瘫痪者。(3)腰椎间盘突出合并腰椎管狭窄者。(4)椎管狭窄合并腰椎峡部不连与滑脱。(5)经椎管造影、CT、MRI证实有局部明显狭窄伴有相应的临床症状者。
“微创手术治疗颈腰椎疾病”目前为佛冈县人民医院骨科一区常规手术,每年有300余台,均取得良好的效果。
佛冈县人民医院骨科是清远市临床重点科室。为广东省人民医院重点帮扶科室,目前省人医常驻3名帮扶专家,骨科技术力量雄厚。
骨科门诊设置在门诊3楼,住院部设置在外科楼7楼和9楼,分为骨科一区及骨科二区,现有主任医师3名、副主任医师4名,主治医师8名、住院医师5名,副主任护师2名。多名医务人员分别在中山大学附属医院、南方医科大学附属医院、广东省人民医院、广州军区广州总医院、广州市红十字会医院等进修深造。科室的重点业务为:微创手术治疗各种脊柱疾病及关节疾病、各种复杂创伤骨折、各种复杂皮瓣修复。
医生门诊及随诊安排:
门诊时间:每周一至周五全天、
每周六、日上午
地点:三楼319、322骨科门诊
咨询电话:0763-4283252(骨科一区)
0763-4283060(骨科二区)


用户登录